Logo

From 14 to 17 January 2027

PARIS

All animations

Animations schedule

Conferences schedule

Permanent animations

Animations

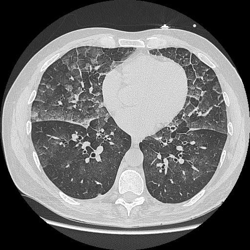
L'ŒDEME PULMONAIRE D'IMMERSION PAR LA 152EME ANTENNE MEDICALE, ECOLE DE PLONGEE

Add to my visit

Animation type : Conference/Projection

Speaker (s) Médecin en Chef Arnaud

Organized by: MARINE NATIONALE

Location : Espace Scénique

Date and hour: Friday 9th January 2026, from 18h30 to 19h30


Presentation

À l’occasion du 400e anniversaire de la Marine, le Salon de la Plongée 2026 mettra à l’honneur les métiers de la Marine Nationale, leurs savoir-faire, leurs engagements et leur lien étroit avec le monde subaquatique.

L'œdème pulmonaire d’immersion est un accident qui survient au cours d’activités immergées et qui peut engager le pronostic vital. Le risque de survenue et la gravité augmentent avec l’âge et l’existence de facteurs de risque cardio-vasculaires. Cependant, cet accident concerne aussi les plongeurs militaires, jeunes, sportifs et indemnes de toute pathologie cardio-vasculaire.

Cette conférence sera présentée par la 152
antenne médicale de la Marine nationale qui fait partie du réseau des Centres Médicaux des Armées (CMA), chargés du soutien médical des forces armées sur le territoire français. Elle est intégrée au Service de santé des armées (SSA), qui assure la médecine de premier recours, la médecine d’aptitude et le suivi des militaires tout au long de leur carrière.

Share by email

Production et Organisation : HP Communication – 2 Bis Chemin de l’Ile de Beauté – 94130 Nogent Sur Marne - France